Open 7 Days A Week (Mon – Sun) 9:00 AM – 8 PM

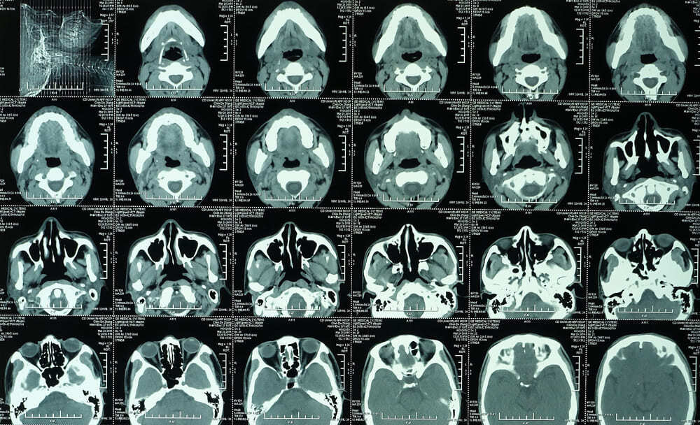
Advanced Multislice CT Scans: What Makes Them More Accurate?

Advanced Multislice CT Scan

If you’re looking for a CT scan in Brooklyn, NY, you can start at City Wide Radiology. According to a 2021 report by Frost & Sullivan, 375 million CT scans happen worldwide. Still, when your doctor orders a CT scan in NYC, and you want to know it will actually catch what is wrong, the technological details matter. […]